
Lyme Disease vs Lyme’s Disease: Clearing Up the Confusion Once and For All!
Lyme disease is a tick-borne illness caused by the bacterium Borrelia burgdorferi. It is a widespread disease in the United

Lyme disease is a tick-borne illness caused by the bacterium Borrelia burgdorferi. It is a widespread disease in the United

Why is Lyme Testing Not Always Accurate: Lyme disease is caused by the bacterium Borrelia burgdorferi and is transmitted through

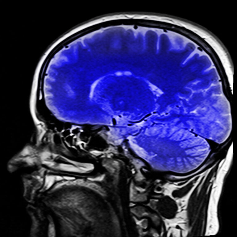
Lyme Disease and Its Effects on the Brain Lyme disease is a bacterial infection caused by the Borrelia bacterium.

When it comes to Lyme Disease, the signs and symptoms can vary. Lyme disease is a bacterial infection that can

What are the long-term symptoms of Lyme disease? Don’t ignore the signs! Understand what long-term effects Lyme Disease may cause,

Do you have Lyme or know someone who does? Or do you have mystery symptoms you cannot get answers to

I am going to start off on the cliche side. I know, I know, boooo. And here it goes. You

We have all heard the saying “fake it till you make it” right? What does that mean exactly and how

Living healthy can be tough!!!! Do you know what’s tougher, being sick! I opt for health every time. I do

Did you know that Lyme Disease is on the rise in North America? In fact, it is now considered to

I’m sure you’ve heard the term ‘suicide prevention month’, but did you know that September is actually an important date